상악 전치부 치경부 충치치료

구강 사진

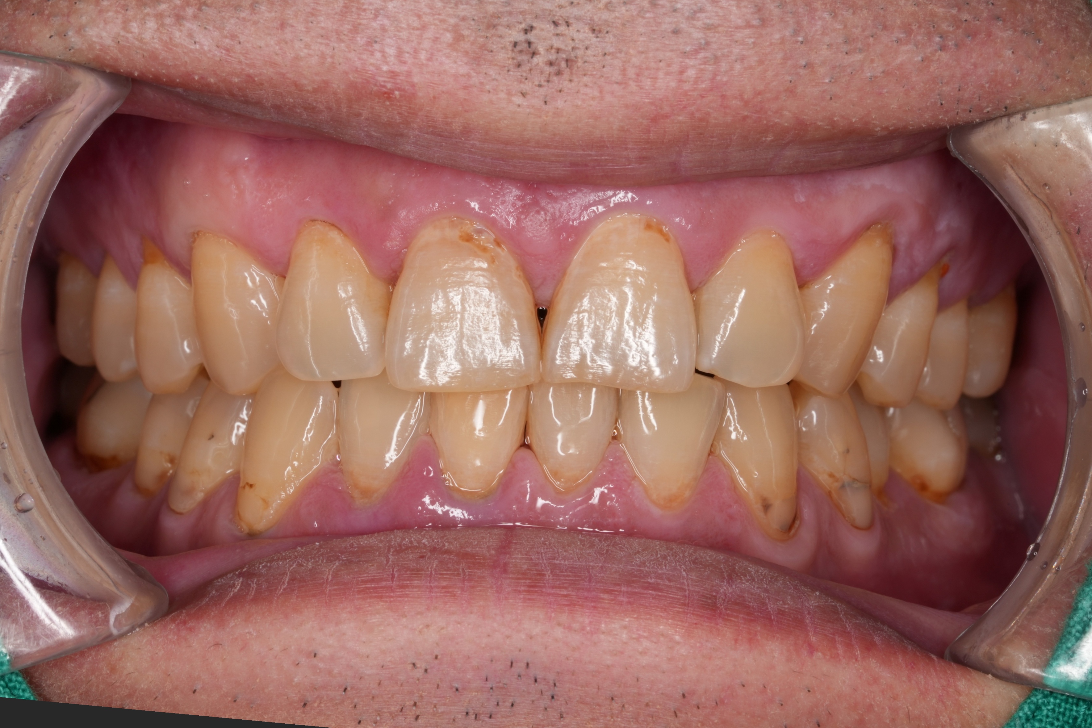
BEFORE상악 전치부 치경부 충치치료 구강 비포
AFTER
회원 전용 콘텐츠

의료법에 따라 AFTER 사진은 로그인하신 회원에게만 공개됩니다.

치료 경과

앞니 잇몸 경계 부위(서비컬)에 생긴 충치를, 치아 색과 자연스럽게 어울리는 레진으로 채워 치료했습니다. 충치 부위만 최소한으로 삭제하고, 치아 본래의 형태를 살려 마무리했습니다.

담당 의료진

최효영 대표원장

최효영대표원장

안녕하세요, 이음치과의원 대표원장 최효영입니다. 환자분의 치아 하나하나에 정성을 담아 진료합니다. "실력으로 신뢰를, 신뢰로 마음까지 잇겠습니다."

프로필 자세히 보기 →

※ 본 케이스는 환자의 동의를 받아 공개되었으며, 개인 정보 보호를 위해 식별 가능한 정보는 제외하였습니다. 치료 결과는 개인의 구강 상태·생활 습관·관리 방법에 따라 달라질 수 있습니다.

← 비포애프터 목록으로